Tổng đài CSKH 24/7 1900 4498
Kem trị thâm Mocha: 7 công dụng mờ thâm mụn, làm sáng và đều màu da hiệu quả
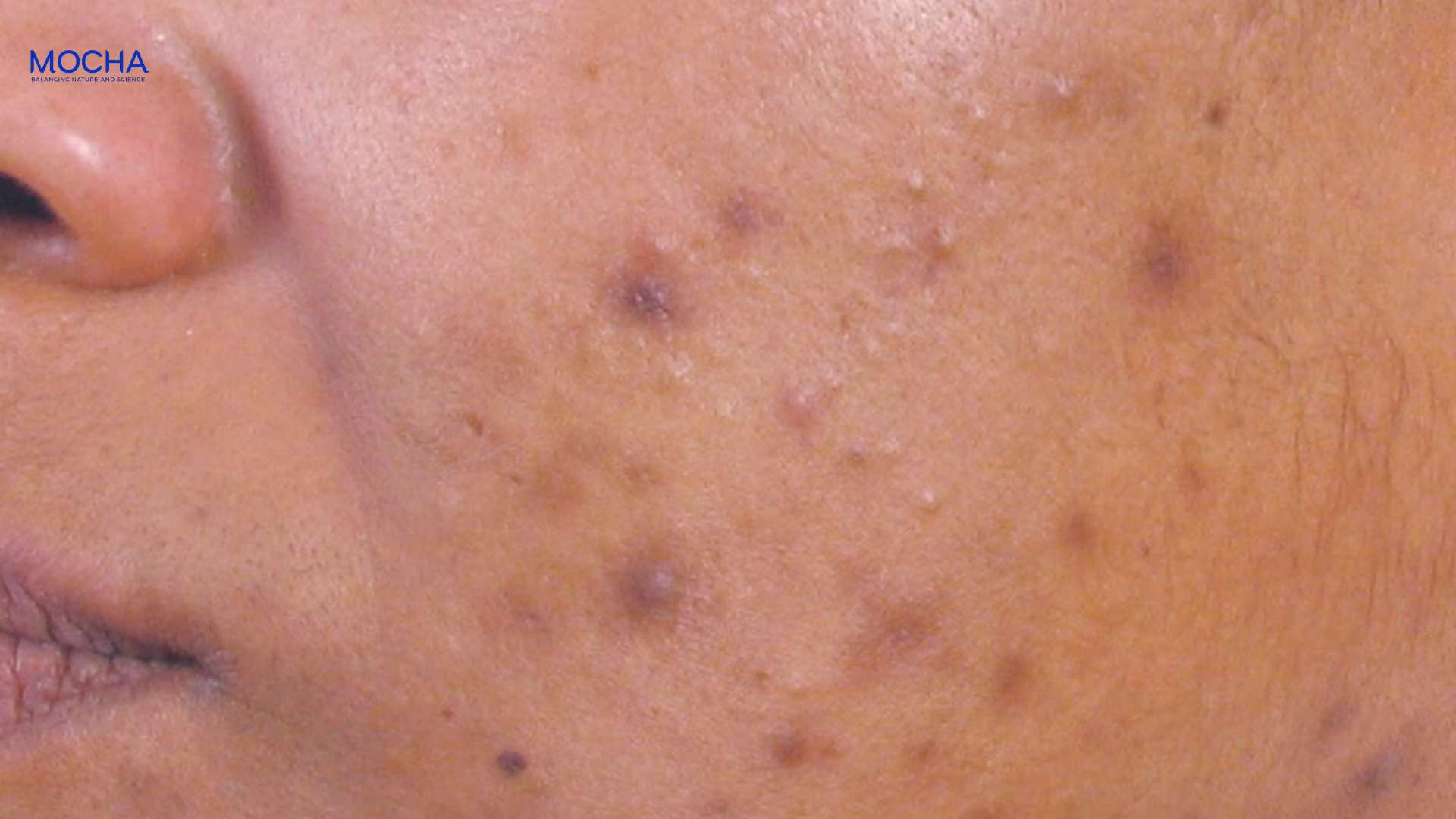
Sau hành trình gian nan chiến đấu với mụn, “cơn ác mộng” mang tên thâm mụn lại xuất hiện khiến làn da trở nên kém sắc và không đều màu. Những vết thâm mụn lâu ngày thường cứng đầu và khó giải quyết nếu không có sự can thiệp của các hoạt chất chuyên biệt.
Hiểu được nỗi lo đó, Kem trị thâm Mocha đã ra đời như một giải pháp cứu cánh, ứng dụng tinh hoa dược liệu cùng công nghệ hiện đại. Trong bài viết này, chúng ta sẽ cùng giải mã sức mạnh từ dòng kem trị thâm của Mocha và lý do vì sao sản phẩm này lại dẫn đầu xu hướng làm đẹp chuẩn y khoa hiện nay.
Vì sao cần kem trị thâm chuyên trị những vết thâm mụn khó nhằn?
Sau khi mụn viêm khỏi, nhiều bạn trẻ vẫn phải đối mặt với những vết thâm mụn dai dẳng, khiến làn da không đều màu và thiếu sức sống. Lúc này, kem trị thâm không chỉ là bước chăm sóc bổ sung mà trở thành giải pháp cần thiết để phục hồi da toàn diện.
Kem trị thâm mụn cấp tốc giúp can thiệp đúng vào nguyên nhân gốc rễ, làm mờ thâm nhanh chóng mà vẫn an toàn, đặc biệt phù hợp với trị thâm mụn cho da nhạy cảm. Nếu không điều trị kịp thời, vết thâm có thể tồn tại lâu dài, thậm chí đậm màu hơn theo thời gian.
Cơ chế hình thành sắc tố Melanin sau viêm
Khi mụn viêm xảy ra, da kích hoạt cơ chế tự bảo vệ bằng cách tăng sản xuất sắc tố Melanin. Các chất trung gian gây viêm kích thích tế bào melanocyte (tế bào sản sinh melanin) hoạt động mạnh hơn, dẫn đến tình trạng tăng sắc tố sau viêm (PIH).
Melanin được sản xuất thừa và lắng đọng tại vùng da tổn thương, tạo nên vết thâm màu nâu, đỏ hoặc đen. Tia UV từ ánh nắng mặt trời lại càng làm tăng quá trình này, khiến vết thâm càng đậm và khó mờ.
Chính vì vậy, kem trị thâm chuyên dụng với khả năng làm sáng da mụn và ức chế melanin là giải pháp khoa học giúp đẩy nhanh quá trình phục hồi, mang lại làn da đều màu tự nhiên.

Sau viêm dễ hình thành thâm mụn
Những sai lầm khiến thâm mụn đậm màu hơn
Nhiều bạn vô tình làm vết thâm mụn trở nên nghiêm trọng hơn vì mắc phải các sai lầm phổ biến sau:
- Tự ý nặn mụn: Hành động này gây tổn thương sâu, làm tăng viêm và kích thích sản xuất melanin mạnh mẽ, dẫn đến thâm mụn lâu ngày khó điều trị.
- Bỏ qua kem chống nắng: Tia UV kích thích melanocyte hoạt động, khiến vết thâm nhanh chóng đậm màu và lan rộng. Ngay cả khi ở trong nhà, ánh sáng xanh từ màn hình cũng có thể làm tình trạng tệ hơn.
- Sử dụng sản phẩm chứa corticoid hoặc tẩy mạnh: Làm mỏng da, tăng nguy cơ kích ứng và khiến thâm mụn trở nên dai dẳng.
- Không kiên trì dưỡng da: Cách làm mờ thâm mụn lâu ngày đòi hỏi thời gian và quy trình đúng, nếu bỏ cuộc giVì thế, lựa chọn kem trị thâm an toàn, lành tính từ sớm sẽ giúp bạn tránh được những hậu quả trên và sở hữu làn da sáng khỏe nhanh chóng.
Review chi tiết Kem trị thâm Mocha
Nhiều bạn đang tìm kiếm kem trị thâm mụn cấp tốc hoặc cách làm mờ thâm mụn lâu ngày thường quan tâm đến kem trị thâm Mocha. Dưới đây là review chi tiết dựa trên thành phần, cơ chế và phản hồi thực tế từ người dùng.
Nguồn gốc và uy tín thương hiệu Mocha Việt Nam
Mocha Việt Nam là thương hiệu dược mỹ phẩm Việt Nam uy tín, được nghiên cứu và phát triển dành riêng cho làn da người Việt. Với hơn 10 năm kinh nghiệm, Mocha tiên phong kết hợp dược liệu Việt Nam với công nghệ cao hiện đại, đã đạt kiểm nghiệm lâm sàng quốc tế và giấy phép lưu hành từ Bộ Y tế.
Thương hiệu được nhiều chuyên gia da liễu tin dùng nhờ cam kết an toàn, lành tính và hiệu quả. Đặc biệt với dòng kem trị thâm, Mocha tập trung giải quyết vấn đề tăng sắc tố sau mụn, một nỗi lo phổ biến của da Việt. Nhiều review kem trị thâm Mocha cho thấy sản phẩm phù hợp cả với trị thâm mụn cho da nhạy cảm, ít gây kích ứng và có nguồn gốc xuất xứ rõ ràng.

Các sản phẩm của Mocha được nghiên cứu và phát triển phù hợp làn da Việt
Bảng thành phần lành tính – hiệu quả từ kem trị thâm Mocha
Điểm mạnh lớn nhất của kem trị thâm Mocha nằm ở bảng thành phần cao cấp và lành tính:
- Niacinamide: Giúp làm sáng, đều màu da và kháng viêm.
- Tranexamic acid: Hoạt chất chủ chốt giúp ức chế melanin, làm mờ thâm đỏ và phục hồi tổn thương sau mụn.
- Sabiwhite (Tetrahydrodiferuloylmethane): Một dẫn xuất từ nghệ giúp chống oxy hóa mạnh và làm sáng da hiệu quả.
- TECA (Chiết xuất rau má): Thúc đẩy tái tạo, phục hồi tế bào da sau mụn và ngăn ngừa sẹo.
- Bio-Placenta: Chứa 5 nhân tố tăng trưởng giúp làm dày lớp biểu bì và phục hồi vùng da từng bị tổn thương.
Kết hợp cùng các chiết xuất thiên nhiên khác, công thức của Mocha không chứa Paraben, Corticoid hay hương liệu mạnh, rất an toàn cho da nhạy cảm. Nhiều người dùng đánh giá kem trị thâm Mocha có tốt không thì câu trả lời là “Có”, đặc biệt khi dùng đều đặn.
Cơ chế tác động Ức chế Melanin – Phục hồi cấu trúc da – Dưỡng sáng từ bên trong
Kem trị thâm Mocha hoạt động theo cơ chế 3 tầng chuyên sâu:
- Ức chế sắc tố gốc: Bộ đôi Tranexamic Acid và Sabiwhite tấn công trực diện vào enzyme Tyrosinase, chặn đứng quá trình sản sinh Melanin, giúp các vết thâm đỏ và thâm đen mờ đi rõ rệt.
- Tái cấu trúc và ngăn ngừa sẹo: Hoạt chất vàng Bio-Placenta (5 nhân tố tăng trưởng) kết hợp cùng TECA từ rau má kích thích tổng hợp Collagen, sửa chữa hàng rào bảo vệ da và làm đầy các vùng da bị tổn thương sau mụn viêm.
- Tái tạo và làm sáng đa tầng: Hệ thống Enzyme sinh học thúc đẩy chu trình thay da tự nhiên, kết hợp cùng Niacinamide để dưỡng sáng đều màu, mang lại làn da rạng rỡ và ngăn ngừa mụn tái phát từ bên trong.
Nhờ cơ chế này, nhiều review thực tế cho biết mờ thâm sau bao lâu thường thấy cải thiện rõ từ 2 – 4 tuần, kem trị thâm mụn cấp tốc cho các vết thâm mới và hiệu quả tích lũy cho thâm mụn lâu ngày.

Kem trị thâm mụn Mocha tác động 3 tầng sâu
Công dụng vượt trội của Kem trị thâm Mocha đối với làn da
Kem trị thâm Mocha không chỉ đơn thuần là một sản phẩm làm mờ thâm mà còn là giải pháp toàn diện giúp phục hồi và cải thiện chất lượng làn da sau mụn, cụ thể các giá trị ma sản phẩm mang lại như sau.
Làm mờ hiệu quả các vết thâm đỏ, thâm đen do mụn để lại
Đây là công dụng được nhiều người dùng đánh giá cao nhất của kem trị thâm Mocha.
Kem chuyên xử lý triệt để các vết thâm mụn từ đỏ tươi (thâm mới) đến thâm đen lâu năm. Nhờ khả năng ức chế mạnh mẽ sắc tố Melanin, kem trị thâm mụn cấp tốc giúp làm mờ rõ rệt chỉ sau 2 – 4 tuần sử dụng đều đặn.
Nhiều review kem trị thâm Mocha cho biết vết thâm sau mụn viêm giảm đến 70 – 80% sau 6 – 8 tuần, đặc biệt hiệu quả với cách làm mờ thâm mụn lâu ngày mà không gây mỏng da hay kích ứng.
Mua ngay kem trị thâm mụn Mocha tại đây!
Cải thiện tình trạng da không đều màu, giúp da sáng mịn tự nhiên
Kem trị thâm Mocha là giải pháp chuyên biệt giúp cải thiện tình trạng da loang lổ và thâm sạm sau mụn. Thay vì các chất tẩy trắng mạnh, sản phẩm ứng dụng bộ đôi hoạt chất vàng là Tranexamic Acid và Sabiwhite giúp ức chế trực tiếp quá trình hình thành melanin, làm mờ các vết thâm đỏ và thâm đen từ sâu bên trong biểu bì.
Đồng thời, sự kết hợp giữa Bio-Placenta (5 nhân tố tăng trưởng) và chiết xuất rau má (TECA) thúc đẩy quá trình tái tạo tế bào, làm lành các vi tổn thương và ngăn ngừa hình thành sẹo, mang lại làn da sáng khỏe, mịn màng tự nhiên.
Với kết cấu dạng gel mỏng mịn, sản phẩm thẩm thấu nhanh và không gây bí da. Công thức không chứa cồn, không hương liệu, không Paraben, đặc biệt an toàn cho da nhạy cảm, giúp duy trì độ ẩm cần thiết và nuôi dưỡng hàng rào bảo vệ da trong suốt quá trình điều trị mà không gây khô ráp hay bong tróc.

Kem trị thâm mụn Mocha ngoài cải thiện thâm mụn còn giúp da đều màu hơn
Cấp ẩm và thúc đẩy tái tạo tế bào da mới, ngăn ngừa lão hóa sớm
Kem trị thâm Smart Whitening của Mocha không chỉ dừng lại ở việc mờ thâm mà còn nuôi dưỡng da tầng sâu nhờ hoạt chất vàng Bio-Placenta và chiết xuất rau má:
- Cấp ẩm và củng cố hàng rào bảo vệ: Các acid amin trong Bio-Placenta cung cấp độ ẩm cần thiết, giúp làn da sau mụn luôn mềm mại, mịn màng và ngăn ngừa tình trạng khô ráp.
- Tái tạo tế bào, làm đầy vi tổn thương: Bio-Placenta và TECA kích thích sản sinh collagen và elastin tự nhiên, giúp thúc đẩy quá trình sửa chữa cấu trúc da, hỗ trợ làm lành vết thương nhanh chóng và giảm thiểu nguy cơ hình thành sẹo mụn hay các vết thâm lõm.
- Chống lão hóa và tăng sức đề kháng: Sự phối hợp của Niacinamide và Sabiwhite tạo lớp màng bảo vệ da trước tác hại của gốc tự do và tia UV, ngăn ngừa tình trạng lão hóa sớm và giúp da đều màu, săn chắc hơn.
Nhờ cơ chế phục hồi và nuôi dưỡng chuyên sâu, làn da không chỉ sạch thâm mà còn trở nên khỏe mạnh, căng bóng và duy trì được sự tươi trẻ bền vững.
Hướng dẫn sử dụng Kem trị thâm Mocha đạt hiệu quả tốt nhất
Để đạt kết quả mờ thâm sau bao lâu nhanh và rõ rệt nhất, việc sử dụng kem trị thâm Mocha đúng cách là rất quan trọng. Trước khi thoa kem trị thâm, bạn cần làm sạch da đúng chuẩn để hoạt chất thẩm thấu tối đa:
- Rửa mặt bằng sữa rửa mặt dịu nhẹ có độ pH cân bằng.
- Sử dụng toner không cồn để cân bằng da và se khít lỗ chân lông.
- Lau khô nhẹ nhàng bằng khăn mềm sạch.
Da sạch sẽ giúp kem trị thâm Mocha thấm sâu và phát huy tối đa công dụng làm sáng da mụn. Đồng thời, lưu ý về tần suất sử dụng và liều lượng phù hợp cho từng vùng da thâm
- Sử dụng 2 lần/ngày (sáng và tối).
- Lấy một lượng kem bằng hạt đậu cho toàn mặt hoặc bằng đầu tăm bông chấm chính xác vào từng vết thâm.
- Với vết thâm mới (màu đỏ): Thoa mỏng toàn vùng da bị ảnh hưởng.
- Với thâm mụn lâu ngày (màu nâu/đen): Chấm dày hơn một chút lên đúng vết thâm, sau đó tán nhẹ ra xung quanh.
Kết quả mờ thâm thường thấy rõ sau 2 – 4 tuần nếu dùng đều đặn. Lưu ý kết hợp cùng kem chống nắng Mocha để bảo vệ thành quả trị thâm. Tia UV là “kẻ thù số 1” làm vết thâm đậm màu trở lại. Vì vậy, ban ngày bạn bắt buộc phải kết hợp kem trị thâm Mocha với kem chống nắng phổ rộng của Mocha (SPF 50+ PA++++).
Thoa kem trị thâm trước, chờ 5 – 10 phút rồi mới thoa kem chống nắng. Việc này không chỉ bảo vệ thành quả trị thâm mụn mà còn ngăn ngừa thâm mới hình thành, giúp da đều màu lâu dài.
Đánh giá thực tế từ khách hàng sau khi dùng sản phẩm Mocha
Hàng ngàn khách hàng đã tin dùngkem trị thâm Mocha và chia sẻ những phản hồi chân thực. Dưới đây là một số đánh giá phổ biến nhất.
Về cảm nhận về kết cấu kem và khả năng thẩm thấu trên da: Sản phẩm dạng gel có kết cấu mỏng nhẹ, dạng kem dưỡng mềm mịn, thấm rất nhanh vào da chỉ sau 1 – 2 phút, không gây nhờn rít hay bí da. Mùi thơm dịu nhẹ từ thiên nhiên, rất dễ chịu.
Nhiều review kem trị thâm Mocha cho biết sản phẩm đặc biệt phù hợp với trị thâm mụn cho da nhạy cảm, không gây bong tróc hay khô da như một số kem trị thâm thông thường. Hầu hết khách hàng đều hài lòng với tốc độ thẩm thấu nhanh và cảm giác thoải mái khi dùng.
Vết thâm mụn sẽ không còn là rào cản ngăn bạn tự tin nếu bạn chọn đúng giải pháp “đặc trị” và kiên trì chăm sóc. Với sự kết hợp hoàn hảo giữa thành phần thiên nhiên quý hiếm và công nghệ bào chế tiên tiến, Kem trị thâm Mocha tự hào là người bạn đồng hành tin cậy trên hành trình chinh phục làn da trắng sáng, không tì vết. Hãy để Mocha giúp bạn lấy lại vẻ rạng rỡ vốn có và duy trì nét thanh xuân cho làn da ngay hôm nay.
Và nếu bạn muốn được tư vấn tận tâm từ các chuyên gia, đừng quên theo dõi trên Fanpage chính thức của Bác sĩ CKI Trúc Maitại đây nhé.












You must be logged in to post a comment.